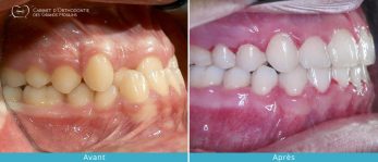
Orthodontie pour l’Adulte
C’est une fausse idée de penser que l’orthodontie ne concerne que l’enfant. Une fois la croissance terminée, il est possible à tous les âges d’entreprendre des traitements d’orthodontie. En effet, l’exigence esthétique est primordiale de nos jours. C‘est pourquoi le nombre d’adultes qui viennent nous consulter est de plus en plus important.
Les objectifs du traitement chez l’adulte :
- Améliorer l’esthétique du visage et du sourire ce qui peut améliorer la qualité de vie personnelle et professionnelle.
- Rétablir une mastication efficace.
- Réduire les dysfonctions articulaires (craquements, douleurs, blocage, ) en améliorant l’occlusion dentaire et en corrigeant les décalages dentaires et squelettiques.
- Préparation pré-prothétique.
- Palier aux troubles liés à « l’apnée du sommeil » du moment qu’une prise en charge orthodontique est suffisante.
- Amélioration de l’état parodontal par l’alignement dentaire.
En fonction de la malocclusion et des dysmorphoses existantes d’une part et vos demandes et préférences d’autre part, une ou plusieurs solutions thérapeutiques peuvent vous être exposées.
De la technique vestibulaire, avec des attaches céramiques transparentes sur la face externe des dents, à la technique linguale avec des attaches collées sur la face interne des dents donc invisibles, en passant par des gouttières thermoformées transparentes à port permanent type Invisalign, nous disposons de tout un arsenal thérapeutique pour répondre à vos exigences.
Ces traitements peuvent être complets, nécessitant parfois le recours aux extractions et/ou à la chirurgie maxillo-faciale ou partiels, dits « traitements de compromis ».
Dans certains cas et pour aider le traitement, des petites vis ou implants peuvent être mis en place afin d’avoir un ancrage solide pour déplacer les dents de façon plus efficace. Ces mini-vis ou mini-implants sont retirés à la fin du traitement et ne laissent aucune séquelle.

Le brossage
1Après chaque repas et avant chaque visite chez l'orthodontiste

- Il faut brosser toutes les faces de toutes les dents.
- On brosse le haut et le bas séparément.
- La brosse à dents se place à 45° vers la gencive
- On fait des petits mouvements de rotation
- On brosse aussi la gencive
2Les brossettes interdentaires

Avec la brossette, nettoyer sous le fil, autour des bagues et des attaches, mais aussi entre les dents.
Risques en cas de brossage insuffisant
- Au niveau des dents
Apparitions de leucomes sur l'émail (tâches blanches) puis de caries.
- Au niveau des gencives
Rougeur, gonflement et irritation pouvant entraîner une inflammation des gencives puis un déchaussement des dents.
Si une bague se décolle, appeler son orthodontiste pour la recoller surtout si elle est gènante
Si une bague se descelle, appeler son orthodontiste et la ramener si possible, ce qui permettra de connaître la taîlle de la bague pour la remplacer.
L'ALIMENTATION AVEC UN APPAREIL D'ORTHODONTIE

Les attaches que vous avez en bouche sont collées sur vos dents, afin de ne pas les décoller voici quelques conseils qui pourront vous être utiles:
Évitez de croquer dans les aliments durs, de prendre des aliments trop collants les premiers jours après la pose de votre appareil, prenez le temps de bien couper vos aliments, de faire des morceaux et de mastiquer doucement.
Sont interdits : les chewing-gums, caramels, Carambar, nougats, pop-corn, sucettes
A éviter : cacahuètes, pistaches, amandes, ronger les os de poulet, mordre à pleines dents dans un sandwich.
Ne croquez pas dans les fruits mais faites des quartiers, ne mordez pas dans la croute du pain ou de la pizza si elle est trop cuite, ne mettez pas de crayon ou de stylo en bouche, ne croquez pas dans une carotte crue.
Tous ces conseils vous sont donnés afin que votre traitement se passe le mieux possible et afin d'éviter toute blessure suite à un décollement d'attache.
Les casses d'appareils rallongent la durée de votre traitement, et de plus, en décollant une attache, votre fil se déforme et risque d'entrainer vos dents dans une mauvaise position et d'abîmer ainsi leur racine.
